Table of Contents
Adaptive cellular immunity triggered by "foreign" antigens (virus, cancer, etc.)
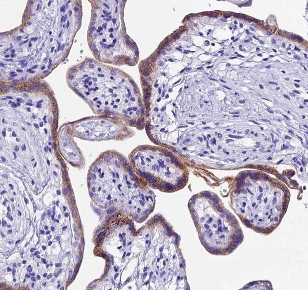
PDL1 Expression by Trophoblastic cells protects from maternal rejection
Human trophoblastic cells display many of the features of malignant cells such as cellular growth and their ability to invade normal tissue including blood vessels and are apparently not eradicated by the host immune system. These trophoblastic cells are genetically significantly different from the mother and should initiate a maternal immune rejection. This is however suppressed thank to the PD1-PDL1 interaction
PDL1 Expression by Squamous Epithelium (Tonsil) protecting itself within a cryptitis
At low magnification (Left), one sees the heterogeneous expression of PDL1 in a tonsil which is used as a preferred positive on-slide control for PDL1. This expression is explained by a focal invasion of T cells reaching an infectious area (Center: DAB: CD3, RED: Cytokeratin). The T cells release Interferon-Gamma which stimulates local expression of PDL1 by the epithelium. The right picture shows PDL1 expression at higher magnification.
![]() | ![]() | ![]() |



